What is Lengthening Surgery? What is short stature? Why does height stay lower? How does short stature get diagnosed? What are treatment methods? How much the height grow with surgery? For whom the lengthening surgery is suitable? How long does it take for height to grow?
According to Turkish Statistical Institute data, the average heigth of the population is 167 cm (men: 172 cm, women: 161 cm). While the height standards change from population to population, people who are under 150 cm of length are diagnosed with constitutional shortness, dwarfism. Genetic factors or various health problems can cause short stature. In this case, surgical procedure called lengthening surgery can be performed.
Lengthening surgery is a surgical operation that is performed to provide functional work in case of short stature for under the standard height or for aesthetic purposes. It is a orthopaedic intervention that allows for people with closed growth plaques to treat health problems or remove aesthetic concerns by lengthening for bones in arms and legs - not the bones in the body.
Why Does Short Stature Occur?
Short stature is an important health problem that can be caused by various diseases. The factors that cause height to stay lower should be investigated. Short stature is determined by height measurement of mother and father and the individual’s growth rate and body proportions.
Short stature can occur due to various reasons such as constitutional or familial reasons. Short stature can be on both arm and leg limbs. Differences lesser than 2 cm between both arms or legs do not cause functional problems apart from aesthetic concerns. Short stature in limbs can be caused by genetic or constitutional factors.
How is the Diagnosis for Lengthening Surgery Determined?
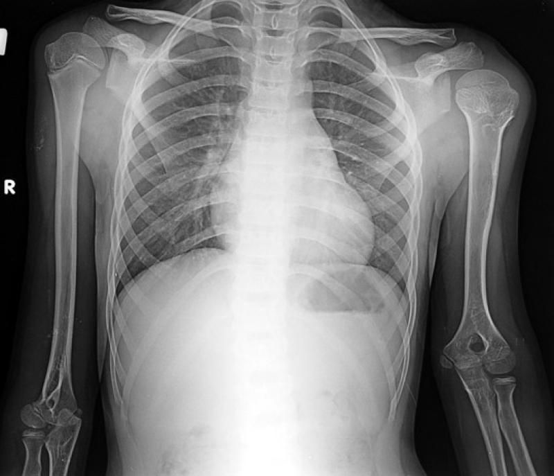
For lengthening surgery, the individual needs to be diagnosed with short stature first. To diagnose short stature, after examining patient history, physical examination and laboratory evaluations are made. In the physical examination stage, the length of arms and legs of patients between fixed points is measured and both standing and lying calculations are made. Also, special stature roentgens are used for millimetric measurements.
In the laboratory measurements; patient’s bone age, blood count for chronic disease analysis, full urinalysis, liver function measuring, stool test, PH ratio in blood, lung graphy, erythrocyte sedimentation rate, ure, sodium, potassium, calcium, phosphor, thyroid hormones, albumin, chromosome, and antibodies can be analysed.
How is Short Stature Treated? Is Surgery the Only Solution?
Surgical and non-surgical techniques can be used for the treatment of short stature caused by genetic, hormonal, and environmental factors. In non-surgical method, lifter insoles within shoes can be added for less than 2 cm length differences in legs. Some children in growth period can also take advantage of growth hormone reinforcement.
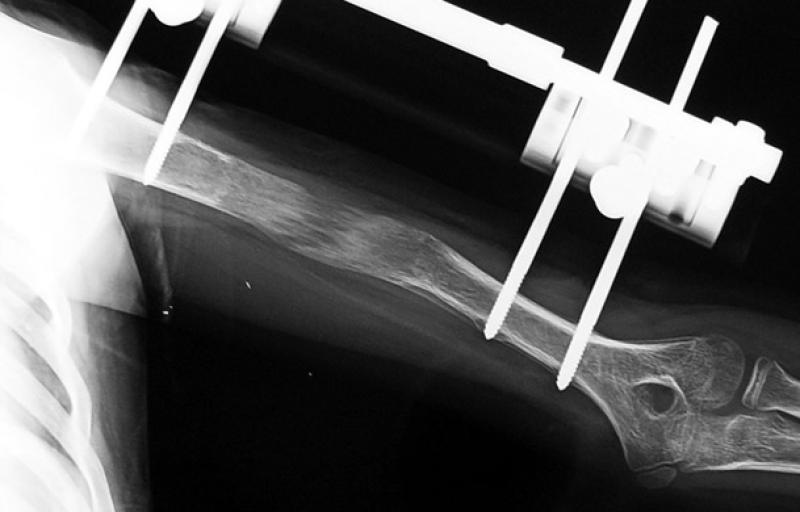
For length differences of more than 2 cm, surgical intervention is necessary. With lengthening surgery, which is an orthopaedic process, patient’s functional capabilities can be improved for lengthening. For children, the shorter side can be lengthened to equalise limb length and rarely, the growth of longer side can be slowed down.
How much will my height grow with surgery?
In lengthening surgery, it is possible to grow 10-15 cm with one session. With sessions each requiring a different surgery, both lower and upper region of legs can be lengthened. Especially for children with dwarfism syndrome occurring from achondroplasia or hypocondroplasia, the first session lengthening should be performed between ages of 5 - 7.
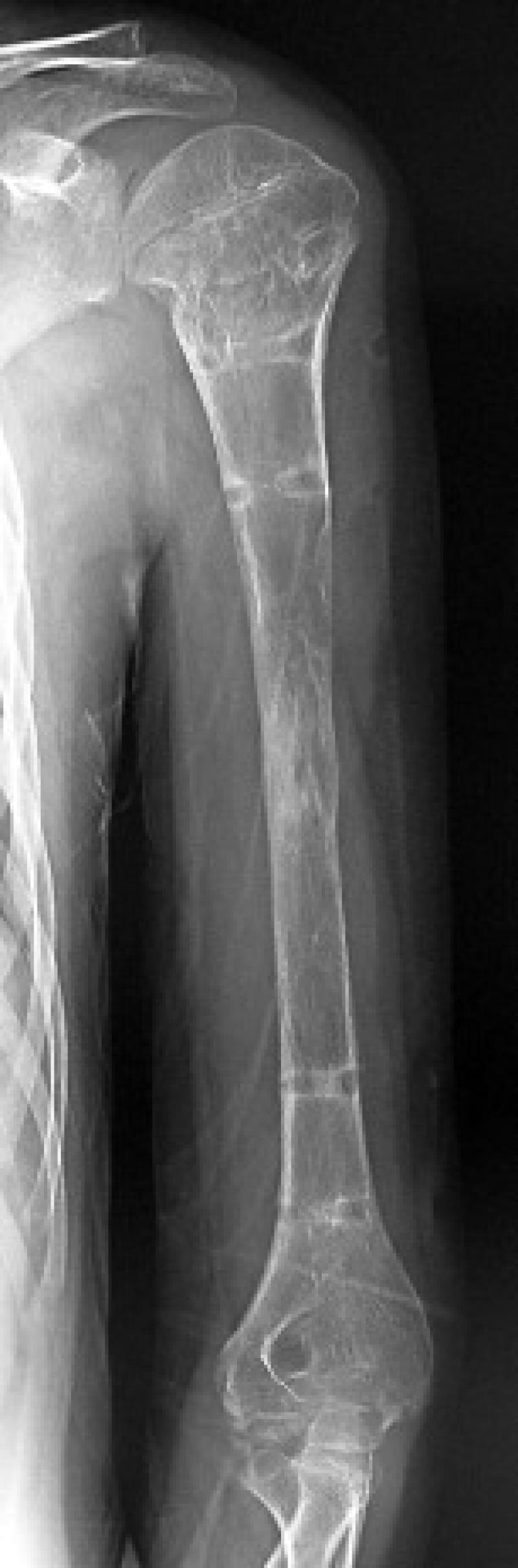
While the surgery starting age is accepted as 7 in the classical literature, in some cases starting at ages 2 - 3 is also possible. 10 - 15 cm of growth in the first session of the surgery, 8 - 12 cm in the second session, and 8 - 10 cm in the third session can be provided. For body limbs to have a healthy ratio, arm lengthening surgery is performed between ages of 14 - 16 for 10-12 cm of growth. Since bones harden after 20 years of age, the first session is performed at ages of 5 - 7, second session at 10- 12, third session at 14-16 and lengthening process is completed.
Lengthening surgery can be performed for adults above 18 years of age and for aesthetic concerns apart from diseases. For people with wrongly mended fractures, diabetes, smokers, or accident victims who have short stature, bone correction with special techniques can be used to equalise limb length. For lengthening due to cosmetic reasons, patients have to go through psychiatric evaluation. With the help of special devices and techniques, lengthening between a quarter millimetres and 1 millimetres is provided. 10 - 15 cm of growth is possible according to reason of short stature, age, and bone structure. Patients have to receive physical treatment after the surgery for development of muscles.
How Long Does It Take for My Height to Grow?
After the lengthening surgery, height growth starts following the end of 7-10 days of recovery period. An average of 5cm of lengthening is provided for legs with 1mm lengthening per day for two months. According to the used technique, the lengthening time for 1cm can change between 1.5-2 months, and 4-6 for 5cm.
When the desired lengthening amount is achieved, the lengthening is stopped in the second stage and 45-90 days are waited for the elongated bone to harden and get stronger. For hand fingers with shape disorders, lengthening occurs at the rate of a quarter millimetres per day. Lengthening surgeries every 4-5 years are performed on children and all sessions are completed by the age of 20 at the latest.
